狼疮少女碎碎念plus版(孕晚期➕生产小记) 慈铭博鳌三代试管费用
最新活动: 2025-04-15
浏览: 1582
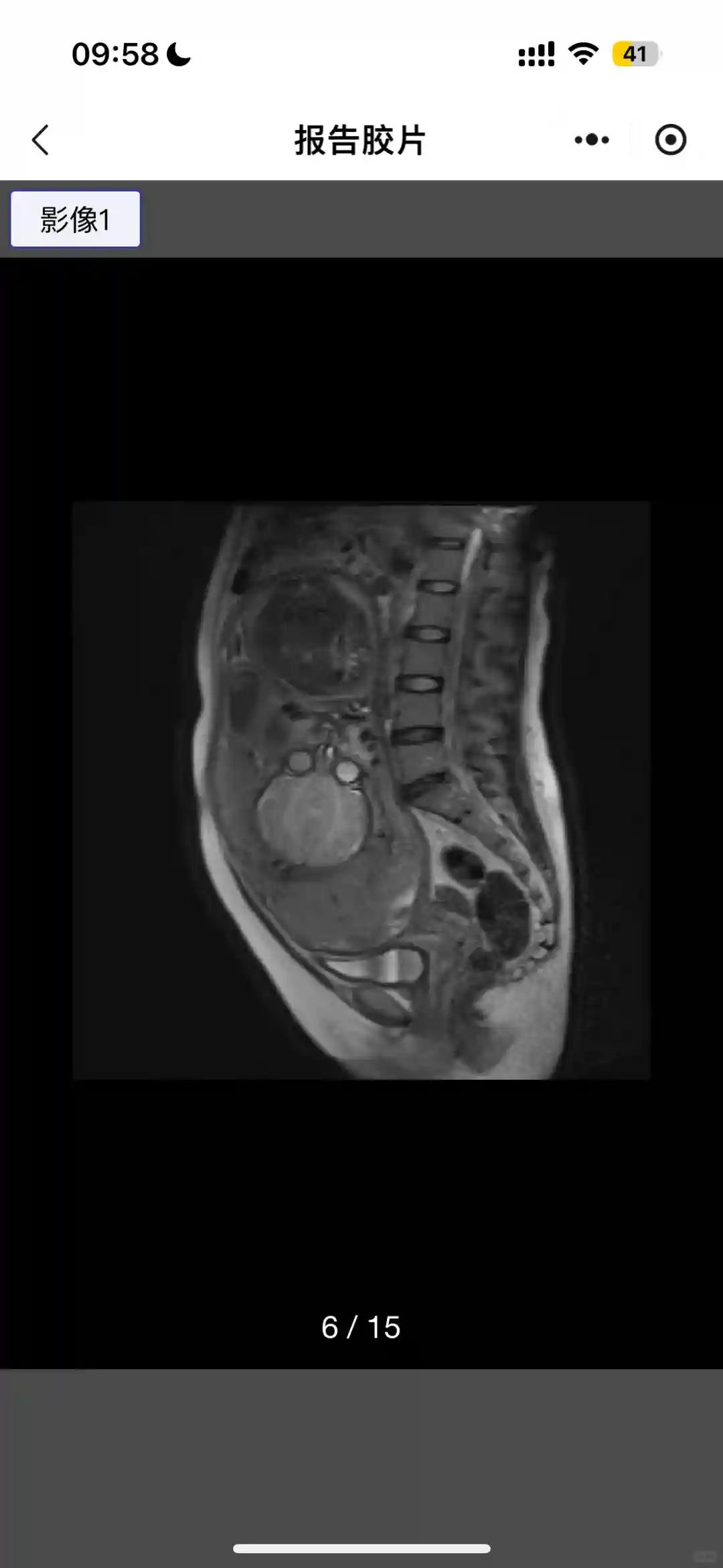
看过我上2篇的都知道我是帆状胎盘➕前置中央胎盘➕部分胎盘植入自身又是抗SSA阳性➕SLE属于buff叠加大满贯,我整个孕期体重增加也没超过20斤,28周小排畸我崽还偏大1周那感动的老母亲真的泪流满面!到了36周➕的生产前检查崽崽就偏小了1周又羊水减少只有2.4但是深度还可以,李教授给的建议是足月前2天生!考虑到可能的情况我不想冒险还是决定听从李教授建议提前2天生,其实我自己是还想拖2天足月37周生。但是又怕不确定因素会影响到崽崽,从被宣布羊水少当天开始我每天醒了就是拍崽崽,互动一下那几天真是胆战心惊!把她抱在手里的瞬间我终于不害怕了,万幸我的小崽崽也很努力,各项指标正常也能够正常吃喝!并且也在平稳成长,希望她继续努力,快快长高高,长壮壮!
总体来说整个孕晚期,常规检查都非常顺利,不管是胎心监测还是常规产检他都平稳通过,更让老母亲欣慰的是崽崽居然在36周自己变成了头位,如果不是老母亲buff叠加崽崽肯定会更健康!因为我的原因小崽崽做了2次心脏彩超但是都没啥问题。提示的三尖瓣返流也在最后的B超消失了!只能说小棉袄非常贴心!各位姐妹有相关问题也可以滴我能偷玩手机的时候我都会回复呢!我们月子篇再见啦!#孕晚期 #剖腹产 #李家福










#前置中央胎盘 #胎盘植入 #系统性红斑狼疮女孩们 #sle系统性红斑狼疮 #自免怀孕














能百毒不侵的人,都曾伤痕累累过;能笑看风云的人,都曾千疮百孔过。
2026-01-22 0