魏则西离世的1248天:父母捐4万善款给学校,试管失败多次终迎新生命
最新活动: 2025-01-11
浏览: 1505
据猛犸新闻、东方今报报道,9月12日,“运世达集团”发布消息称,魏则西父母通过试管婴儿技术重获一子,这个孩子诞生已经百天。记者向该集团电话核实,一名工作人员表示此事为真。

2016年4月12日,22岁的大学生魏则西在咸阳家中去世。他患有滑膜肉瘤,因在搜索推荐的医院,接受未经审批且效果未经确认的“肿瘤生物免疫疗法,导致耽误治疗“。
3年多的时间里,魏则西一家一度陷入悲痛绝望,他的父母也曾尝试试管产子失败,如今他们重获一子。下面这些照片,还原了魏则西一家3年多的经历。



学生时代的魏则西,和父母的合照。患病之前魏则西一家人过着幸福的生活,每个人脸上洋溢着笑容。厄运降临后,他在父母的帮助下,展开了为期近两年的积极治疗,在经历过各种化疗、放疗的方法后,均无发逆转病情,最终于2016年4月12日,病情恶化离世。魏则西曾说:“你无法想象,我们一路走来太难了。”他父亲说,光化疗就经历了29次。图/《每日人物》翻拍

2016年1月初,魏则西胸腔积液极度严重,在一次就诊中的意识已经相当模糊,魏则西父亲把他从医院大门拖到四楼,花了整整半个小时,后来他看了医院的病危通知书,才知道当时的极度危险状况。1月30日,接受治疗中的魏则西出院,这是他当时发的一条朋友圈。但是2月8日,他又住进了医院。因为治疗痛苦,花费高昂,魏则西一次次的对父母说不要管他了,他也数次想过放弃生命,以此减轻家庭的负担。


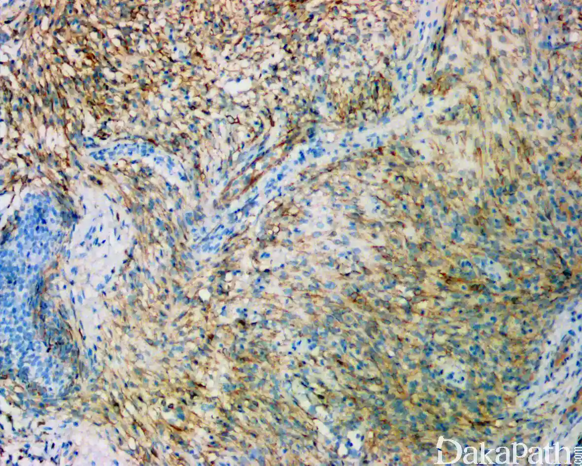
不幸的是,魏则西所患有的滑膜肉瘤是一种罕见的恶性肿瘤。他们辗转于西安、上海、北京等多家肿瘤医院,均被判定病情无法逆转。他曾委托朋友从香港带回靶向药物,也未能得到有效治疗。他希望进行安乐死,但是中国没有相关的法案,父母也不愿放弃独子治疗的最后一丝希望。图为显微镜下的滑膜肉瘤相关图片。

2016年4月11日,魏则西肺部功能衰竭严重,只能利用氧气瓶维持生命,也许知道自己即将离开,这一天魏则西拉着父母谈了四个小时,聊的是关于自己的身后事。父亲给他更换氧气瓶,母亲则在一旁陪伴。

2016年4月12日,陕西咸阳,上午8时许,探访记者接到魏则西父亲的告知,魏则西于当日上午离世。因为有逝者不能见光的习俗,而魏则西的父亲也不愿盖上他的脸,所以卧室的窗帘都被紧紧的拉上。在离世前,魏则西告诉网友们不要再为他捐款,曾经也有好心人帮他从香港带回治疗药物、为他募捐。在他离世后,父母将剩余的4万余元捐款捐给了则西生前就读的大学。

2016年4月13日,陕西咸阳。遗体告别仪式前,魏则西的父亲扑上去抱住他。魏则西生前以考上美国麻省理工学院为目标,学习努力刻苦,在同学老师中口碑很好。在患病期间,魏则西在网络上也以自己的亲生经历帮助患病咨询的网友,他生前不希望有病友再被“肿瘤生物免疫疗法”耽误救治。

当天的告别仪式过后,魏则西的遗体被推去火化,坐在殡仪馆外等候他的父亲对自己的妻子说:“以后只有我们两个相依为命了。”魏则西的家人在孩子离世后的很长一段时间里被失独的痛苦包围。为给孩子治疗承受的巨大债务,让月家庭收入五千左右的夫妻俩生活变得极其艰难,夫妻俩节衣缩食的准备还债。

魏则西父母在孩子墓前,摆满了他生前爱吃的水果、饼干和巧克力。墓碑背后有亲朋校友用“品学兼优嫉恶如仇”来评价这个身患顽疾却乐观如初的年轻生命。魏则西的遭遇让敲开了医疗黑幕的一角,让更多的网友得到警醒。他在生前曾经活跃于各问答平台与社交媒体,为其他的癌症患者提供建议,鼓励他们接受治疗,继续生活下去。

2016年5月1日,百度内部公告称百度副总裁王湛因“违反职业道德、损害公司利益”而被百度开除,百度并未说明具体原因,但是媒体猜测此次离职与魏则西事件有关。魏则西的去世,使得百度因为医学信息竞价、审查不严谨,遭受媒体及舆论强烈批评。5月2日,中国国家互联网信息办公室称已会同国家工商总局、国家卫生计生委和北京市有关部门成立联合调查组进驻百度调查。

2016年5月3日,受“魏则西事件“影响,百度公司股票在美国周一早盘大跌,股价持续低迷。5月10日,百度董事长兼CEO李彦宏发内部信,称魏则西事件超过了百度之前的任何危机,且整改措施或对公司的收入有负面影响。李彦宏还表示,如果百度失去了用户的支持和对价值观的坚守,那么百度离破产就只剩下30天。

2016年5月3日,“魏则西事件“持续在网络上发酵。当天上午9时许,记者在武警北京市总队第二医院的医务处办公室内看到,有多名患者及家属在看到关于魏则西的新闻后前来维权。据现场维权者称,他们基本都已经在医院接受了”生物细胞免疫疗法“,如今非常担心最终治疗结果。图为魏则西生前就诊过的生物诊疗中心,分诊台已经没有医务人员上班。该疗法在美国因治疗收效甚微被众多医院放弃,却被引进来了中国。

武警北京市总队第二医院曾向患者及家属承诺,将在5月6日就退款及科室资质等问题进行答复。截至5月6日中午,接待患者及家属的工作人员除对病患信息进行登记外,没有给出具体解决方案。当天午后,天气越来越热,部分人群情绪激动,与院方安保人员发生小摩擦,一度冲击医院大门,要求面见医生或院方领导,后来事态被警方控制住,避免了冲突。

2016年5月5日,更多信息披露,武警北京市总队第二医院早已被隶属莆田系的陈新贤、陈新喜兄弟的康新公司所控股,陈新喜的柯莱逊生物技术有限公司即是武警二院的所谓“细胞免疫技术”的提供者。当媒体记者到访时,办公地点大门紧闭。5月9日,国家卫生计生委联合调查组公布了对武警北京市总队第二医院的调查结果,并责令其整改。调查组认为武警二院存在科室违规合作、发布虚假信息和医疗广告误导患者和公众。

2016年5月6日,《》发表题为《魏则西留下的生命考题》文章,称生老病死是人生规律,医生无法阻止。魏则西的悲剧应提醒绝症患者调整心态,坦然面对生死:“尊重自然规律,放弃不切实际的幻想,坦然地面对生与死,是最理性的选择”。文章还称,魏则西的遭遇是典型的“中国式求医”悲剧:父母变卖家产为患绝症的孩子求医,最后人财两空。

2016年末,时隔半年过后,表面上,魏则西父母生活已归于平静,但内心却重燃起再要个孩子的念头。据探访的记者描述,魏则西母亲经常会拿出儿子的照片观看。魏则西在生前曾希望父母赶紧再要一个孩子。但当时父母忙于为他治病,并未考虑。好事多磨,2017年,他们曾去医院进行人工取卵,准备做试管婴儿,但是经历过一次移植失败。图/每日人物授权使用

照片中的魏则西笑得很开心,是留给母亲少有的笑容。魏则西父母日常时常想起当年带孩子看病的经历,为了摆脱失独的痛苦,他们等待新孩子到来的时机,一旦等魏则西妈妈的身体条件达到了生育的要求,就准备再生一个。此前家属曾表示,孩子名字已经取好了。图/每日人物授权使用















能百毒不侵的人,都曾伤痕累累过;能笑看风云的人,都曾千疮百孔过。
2026-01-22 0