三代试管婴儿技术新突破,“双突变”夫妇成功诞下健康宝宝
最新活动: 2025-01-09
浏览: 1792
夫妻一方染色体异常,一方基因变异,还有希望生出健康宝宝吗?近日,在中山大学附属第六医院生殖医学中心,一名刚满百日的男宝宝,在妈妈的怀中受到了众人簇拥和祝福。
该院专家团队创造性改良了针对环状染色体的检测方法,应用第三代试管婴儿技术(PGT)阻断遗传缺陷,为这对年轻夫妻圆梦。据文献检索,这是国际上首个报道的“染色体脱环”成功案例。

中山六院生殖医学中心专家团队。
环状染色体异常不孕
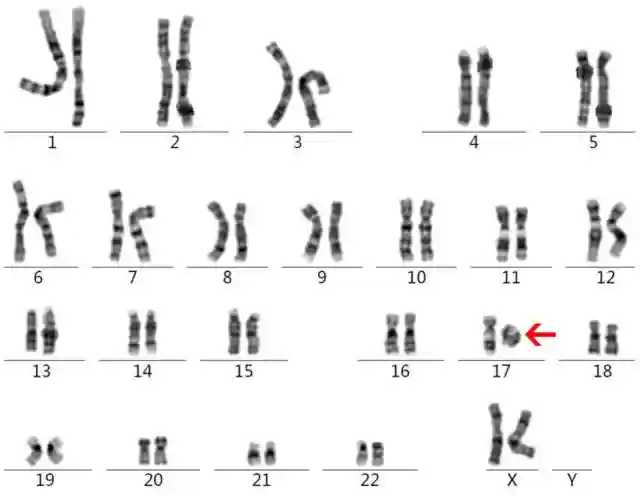
小雪28岁,她的丈夫29岁,正是生育黄金年龄。结婚3年不孕,求子心切的小雪夫妇踏上了漫漫求医路。2021年,在经历了三次人工授精失败后,经进一步基因检测,小雪才发现,她的17号染色体形成了一个环状。这是一种很罕见的人类染色体结构畸变,携带者一般生育率较低,出现不孕不育,或反复流产、生育畸形儿等风险高。夫妻俩经过多方打听,来到广州求医。

17号染色其中一条体呈现环形。
中山六院生殖医学中心任姿副主任医师接诊后发现,小雪夫妇的情况比较棘手。小雪身体和腿部均有牛奶咖啡斑,并表现出轻微的语言发育障碍,与17号环状染色体综合征的表型吻合。她的丈夫存在特殊面容并伴有轻度的智力障碍,经检测确认KMT2A基因异常。两人想要生育一个健康的孩子非常困难,子代染色体和基因均正常的理论概率极低。
任姿副主任医师介绍,目前借助三代试管婴儿技术(胚胎植入前遗传学检测,PGT),在胚胎打孔取部分细胞做遗传学检测,从中选择染色体正常、不致病的胚胎去移植,可有效避免特定的遗传风险,实现优生优育。

三代试管婴儿技术主要适用人群。
人体有两套遗传物质,一套来自父亲,一套来自母亲。以往通过抽取夫妻双方及其各自父母的血液进行信息比对,可以明确染色体或基因变异遗传自父母哪一方。通过对异常染色体/基因进行标注,与夫妻的胚胎信息比对,就能知道胚胎是否遗传了有问题的遗传物质。
但经过检测,小雪的父母染色体均正常,而她丈夫的父母也未有基因异常,夫妻两人都是新发变异,这就意味着难以借助常规技术进行精准的胚胎诊断。
改良长片段测序“建模”
饶是希望微弱,小雪夫妇依然十分渴望拥有一个健康的孩子。2022年2月,他们开始在中山六院正式接受辅助生殖技术助孕。
据了解,单体型构建(注)是做胚胎诊断最基本的步骤,小雪夫妇无法通过双方父母的信息比对“溯源”,只能另辟蹊径。经过不断探索,生殖医学中心团队开发了针对环状染色体检测的基于链读测序的长片段二代测序方法。
该院PGT检测实验室张志强主管技师解析道,环状染色体异常有两种类型,一种是染色体的一头一尾缺失,剩下的中间部分连接成一个环状,另一种是单纯头部跟尾部连成一个环。经检测,小雪属于后者,即末端端粒融合的类型(注),由于没有发生基因片头的丢失,临床症状相对轻。
环状染色体是形态学水平的测定,要用到测序技术,类似于拼积木的过程,先把染色体的每一个小片段给测出来,再参照人类基因组图谱,把它拼成一个完整的染色体。而依靠现有的基因组光学图谱、三代测序技术,效果都不太理想,主要原因是未能检测到大量能够跨过环状染色体端粒连接区域的片段。
“理论上积木越大,拼接成功的概率就更高,而且错误率更低。”张志强指出,测序弧长不足,就没法确认染色体头尾是如何连接的。通过改良的长片段二代测序技术,检测到了大量跨越端粒融合区域的长片段DNA分子,从而确认了环状染色体的结构。“这样就知道女方的两条染色体当中哪一条是线性的,哪一条是环形的,将环状染色体作为标志物,在胚胎上比对,就能明确胚胎是否有遗传缺陷。”

测序读长越长,拼接错误的风险越低,诊断的准确性和可信度更高。受访者供图
三代试管“挑”健康宝宝
借助同样的方法,团队也成功构建了小雪丈夫致病基因的单体型。随后,对小雪夫妇送检的11枚胚胎中,挑选出了1枚染色体和基因均正常的胚胎。尽管异常概率高达90.9%,但第一个周期就得到了健康胚胎,令人鼓舞。
去年3月,小雪顺利接受胚胎植入。孕4个月进行羊水产前诊断,结果显示胎儿染色体核型为“46,XN”,不携带环状染色体,基因检测显示不携带KMT2A基因突变。2023年12月7日,小雪夫妇如愿迎来了一个健康的男宝宝,喜极而泣。成功了!生殖医学中心与产科医护团队击掌相贺。
据悉,这是国际首例顺利诞生的“染色体脱环”宝宝。经文献检索,全球此前尚未有该类环状染色体单体型构建成功的案例报道。目前,宝宝相关评估及检查均正常。
该院生殖医学中心主任方丛介绍,端粒融合型是染色体变异一个非常特殊的区域,此项技术的突破不仅解决了这对夫妇双遗传风险的问题,还通过方法的改变大幅提高了检查的便利性。仅需要夫妻双方抽血就能完成异常染色体/基因突变的单体型构建,不需要做家系验证(注),且通过已建立的一体化PGT检测技术,可同时完成胚胎植入前非整倍体检测、单基因遗传病检测、染色体结构变异检测。除了检测准确度提高,也满足了更广泛人群的需求,例如家系不全(找不到双亲或不想让双亲家属得知自己在做试管婴儿)、复杂染色体异常的疑难患者,应用前景广阔。
注:单体型构建:采用遗传学检测方法,在致病基因突变位点的上下游范围内寻找与致病基因突变在同一条染色体上的有效遗传学标记位点。利用遗传标记在家系中进行分型,寻找与致病基因连锁的特异性遗传标记(相当于参照物),在胚胎检测时帮助判断胚胎是否遗传到了致病基因突变。
端粒:是真核染色体两臂末端由特定DNA重复序列构成的结构,使正常染色体端部间不发生融合,保证每条染色体的完整性。
家系验证:患者或携带者通过基因检测,明确致病基因、致病变异位点和致病性。针对家族中其他成员进行相应变异位点的检测,验证遗传变异在家系中的共分离符合度,确认致病基因及变异位点与疾病的关系,确保后续胚胎检测的可靠性。
延伸
三代试管婴儿技术是最优选择吗?
有人会问,第三代试管婴儿技术能够有效阻断遗传缺陷,是不是就比二代强呢?对此,中山六院生殖医学中心专家团队作了解答。
方丛主任介绍,三代试管婴儿技术主要针对有家族遗传病风险的人群,一是有家族单基因病遗传风险,常见的如地中海贫血、脊肌萎缩症、白化病、苯丙酮尿症、血友病、遗传性耳聋、多囊肾等,一是有染色体异常遗传风险。
该技术还适用于高龄女性,以及一些反复自然流产、反复胚胎种植失败的患者。随着生育年龄增加,卵子染色体异常率增高,一般38岁以上助孕的女性,也可以选择三代试管婴儿,帮助生育健康的宝宝。
但是,试管婴儿技术并不是说三代就比一代、二代好。第一代试管婴儿即传统的体外射精-胚胎移植(IVF-ET),在实验室条件下让精卵自然结合,主要适用于女性因素导致的不孕。二代试管婴儿是在显微镜下,由胚胎师挑选活力好、形态正常的精子一对一注射到卵母细胞,主要适用于男性因素导致的不育。
“一般人群做普通试管就可以了,正常胚胎是不建议做三代的。”方丛主任指出,三代试管婴儿主要针对特定人群,因为对胚胎有活检的要求,在养到第5天需要取细胞检测,在孕期还需要再次羊水诊断,通过双重把关,把遗传风险降到最低。由于技术、步骤不同,三代的费用也会比一代、二代高。
任姿副主任医师表示,日常门诊的时候,经常会碰到夫妻带着有问题的孩子来,准备生二胎了才来做遗传咨询。从优生优育的角度,有遗传病家族史的人群尽管没有症状,也要重视携带者筛查,包括婚检、孕检,必要时可以考虑借助三代试管婴儿技术助孕。例如两广高发的地贫,广东的婚检就有地贫筛查,如果发现夫妻双方是同型地贫携带者,子代有3/4的遗传风险,有机会通过三代试管干预生出健康宝宝。
中山六院生殖医学中心学科带头人梁晓燕教授特别提到,女性随着年龄增长,生育力在不断下降。随着三胎放开,整体生育年龄后延,生殖医学中心接诊平均年龄几乎每年增长一岁,去年是35.7岁。高龄女性即使选择三代试管婴儿技术,胚胎移植成功后依然有一定的自然流产率,需要承受的压力更大。提倡适龄婚育,女性最佳生育年龄为25-30岁。
















能百毒不侵的人,都曾伤痕累累过;能笑看风云的人,都曾千疮百孔过。
2026-01-22 0