在🇫🇷冷冻卵子 我促排后的数据-仅供参考
最新活动: 2025-01-08
浏览: 798









#每秒都值得记录打了四天的促排针(Gonal-F 900),8月10-13日,14日一早验血做B超,医生看了验血和B超报告单,说我卵泡长得太快,要我马上开打Fyremadel Gé 0.25mg(要在早上10点以前注射,针头比gonal要粗,痛感很明显,从扎进去就开始了) 。Fyremadel醋酸加尼瑞克是一种促性腺激素释放激素(GnRH)的拮抗剂,用于预防多卵泡发育导致的早发黄体激素LH峰,是拮抗剂方案中的“稳定剂”。刚刚从小红书了解到这叫“拮抗剂方案”,关于促排的方案,医生没有让我自己选择,应该是根据我第二次面诊的激素六项及B超结果选择的。
和医生交换意见的时候我问了大概会取几个,医生说马上做试管的话一般是取8-12个,介于我是冻卵,应该会取20个左右。我自己内心OS希望是能最大限度的取,多冻一些成功概率会更高。
好消息是卵泡泡很多,坏消息是我的手术时间可能会提前😬
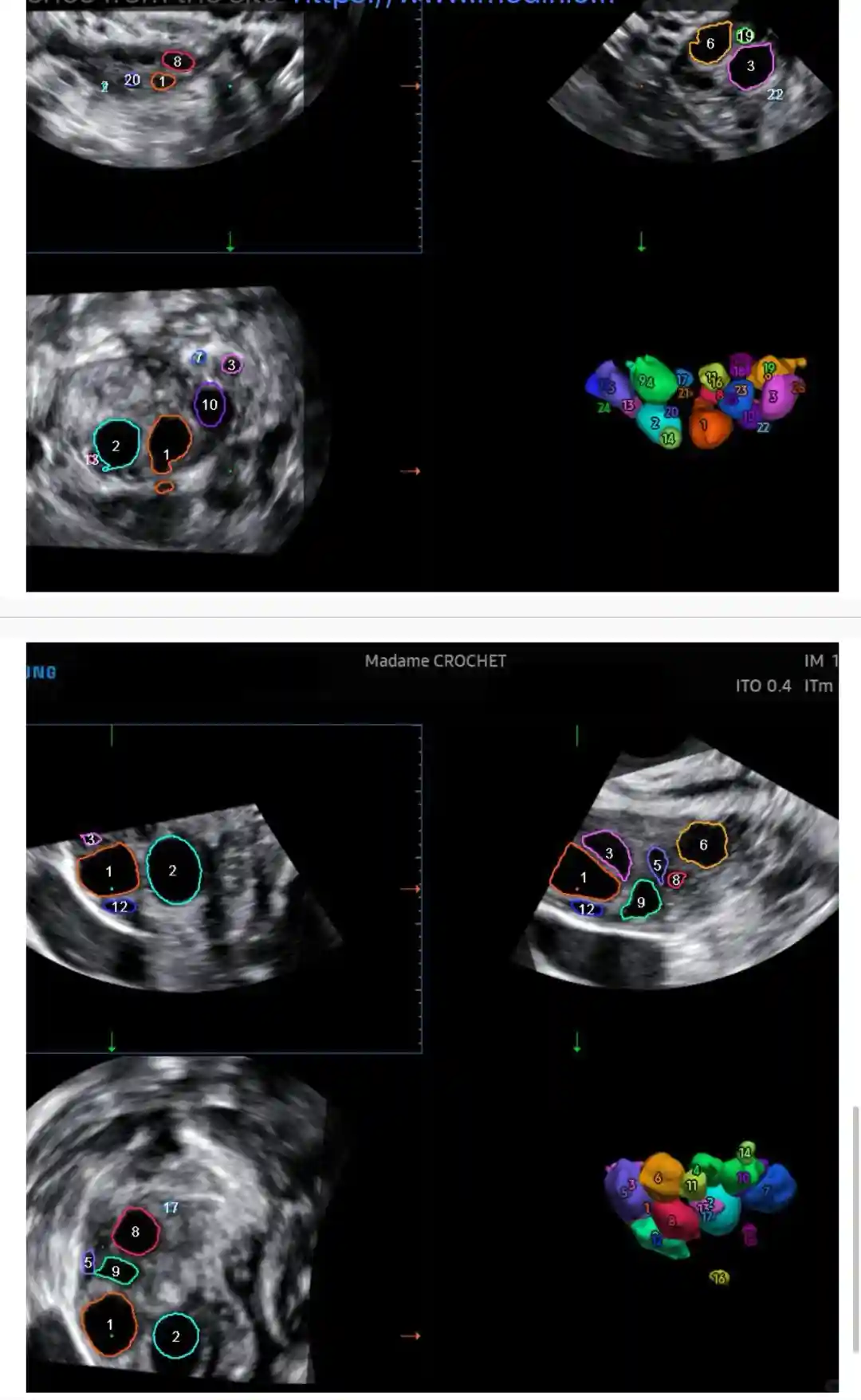
图123,打了4天Gonal-F验血及B超结果
图567,打了6天Gonal-F和3天Fyremadel验血及B超结果
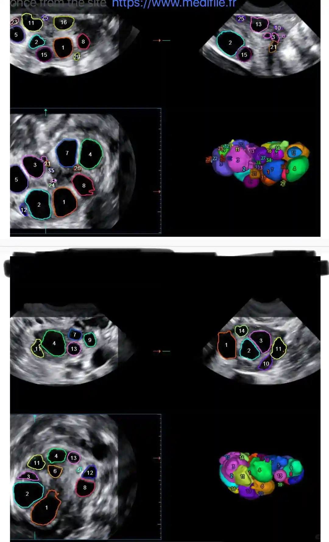
图89,10,打了9天Gonal-F和6天Fyremadel验血及B超结果
加入Fyremadel以后出现明显小腹坠胀,前几天还能出门跑步,从第5天开始走路都只能慢慢走















能百毒不侵的人,都曾伤痕累累过;能笑看风云的人,都曾千疮百孔过。
2026-01-22 0