38高龄女试管之路12: 三代试管详细步骤
最新活动: 2025-07-13
浏览: 454





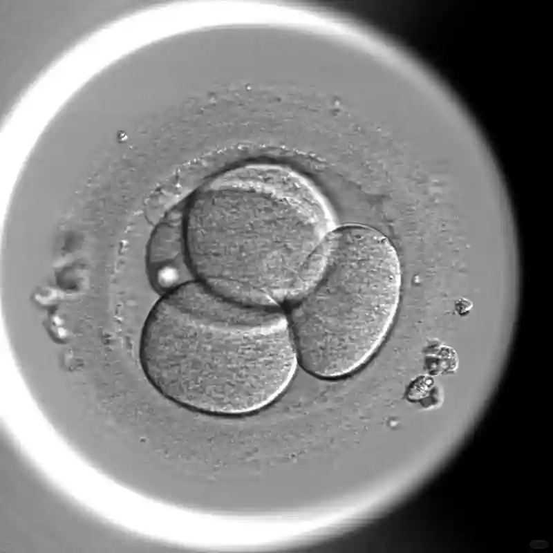
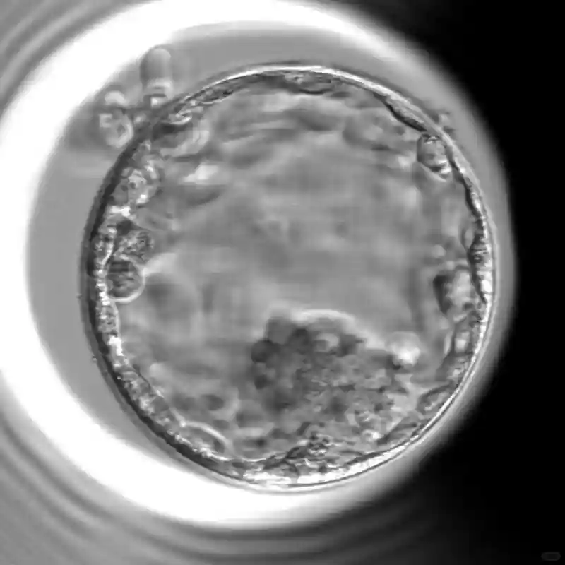
取卵后的第4天医院的胚胎学家给我打电话告诉我胚胎的情况。取了11颗卵子有10颗成功受精,到了第3天剩下8个胚胎,其中3个属于优等级、4个属于一般等级 和1个差等级。到了第6天我的胚胎就只剩下两个属于中上等级(1个是4BB 另一个是 5BA )其他的胚胎已停止成长。知道了这个消息有点小打击,11颗卵子到第六天居然只剩下2两个胚胎。 跟医院沟通后我决定再做一次促排卵,希望能取得更多优质的卵子增加怀孕的机会。我这次的两个胚胎会被冷冻起来,等第二次促排取卵后再连同第二次的胚胎一起做PGS 遗传基因检测筛查。#马来西亚试管婴儿##马来西亚医疗旅游# #马来西亚医疗#














能百毒不侵的人,都曾伤痕累累过;能笑看风云的人,都曾千疮百孔过。
2026-01-22 0